ホーム
医院紹介
診療案内
お知らせ一覧
八木歯科クリニック~横浜市旭区笹野台・三ツ境駅徒歩2分~歯やお口の悩み、痛みでお困りでしたらまずご相談ください
〒241-0816 神奈川県横浜市旭区笹野台1-1-30
相鉄線三ツ境駅 北口徒歩2分 笹野台商店街入口
ホーム
医院紹介
診療案内
お知らせ一覧
ホーム
»
診療案内
»
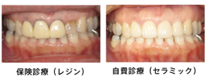
審美歯科
»